(von MissWhippet)

Azul wurde an einem Restaurant in der Gegend von Bierzo gefunden. Der arme Rüde konnte seinen rechten Hinterlauf nicht richtig belasten. Er war sehr dünn, müde und einfach froh, dass sich jemand um ihn kümmerte.
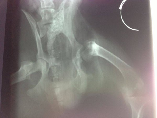
Azul wurde nun in Leon dem Tierarzt vorgestellt, es wurde eine Röntgenaufnahme von seinem Hüftgelenk erstellt, die zeigt, dass eine alte, schlecht verheilte Fraktur den Rüden belastet.
Es ist noch nicht ganz klar, ob Azul eine Hüftgelenksporthese braucht oder ob er mit nicht invasiven Therapien zu einem zufriedenstellenden Ergebnis und guter Lebensqualität kommen kann, darüber werden wir weiter berichten.
In jedem Fall suchen wir für den netten Rüden Spender, die sich an Azuls Therapie beteiligen möchten.
Azul ist am Anfang etwas schüchtern, taut aber bald auf und ist dann sehr verschmußt. Er versteht sich sehr gut mit anderen Hunden und ist ein sehr unkomplizierter, junger Hund.
Vielleicht gibt jemand Azul die Chance seine Probleme mit seinem Bein in einer lieben Familie zu kurieren, denn die Tierheimsituation ist für ihn natürlich nicht das optimale.
Azul bekommt derzeit entzündungshemmende Schmerzmittel, der Tierarzt ist von einer Operation nicht überzeugt und es wird erstmal abgewartet, wie sich sein Zustand nach dieser Therapie entwickelt, danach wird langsam das Schmerzmittel reduziert und darauf geachtet ob Azul weiterhin beschwerdefrei bleibt.
Bilder und Video


Zusatzinformationen
- Reserviert: nein
- Rasse: Griffonmischling
- Geschlecht: männlich
- Alter: geb. circa Februar 2012
- Größe: circa 45 cm
- Tierheim: Villablino
- Kastriert: —
- Mittelmeercheck:—
- Gewicht: —
- Farbe: weiß/hellbraun
- Katzenverträglich: —
